Smile Gallery
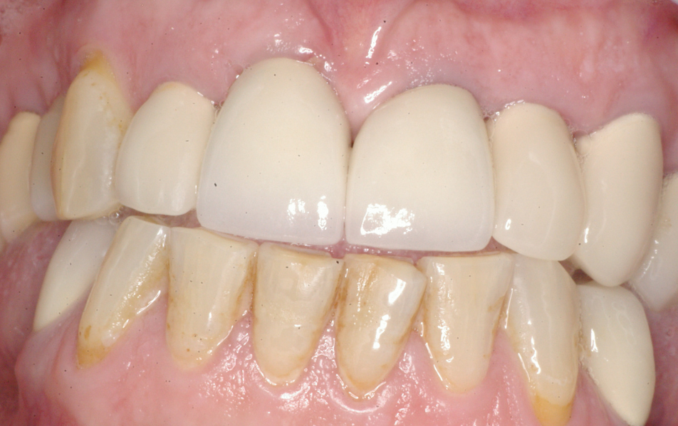
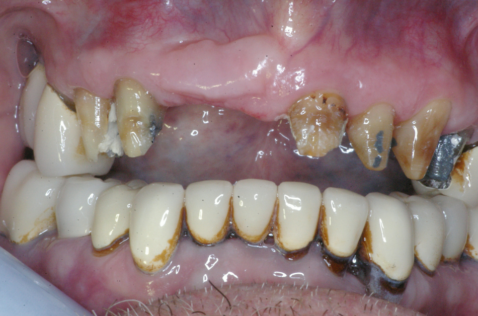
Before
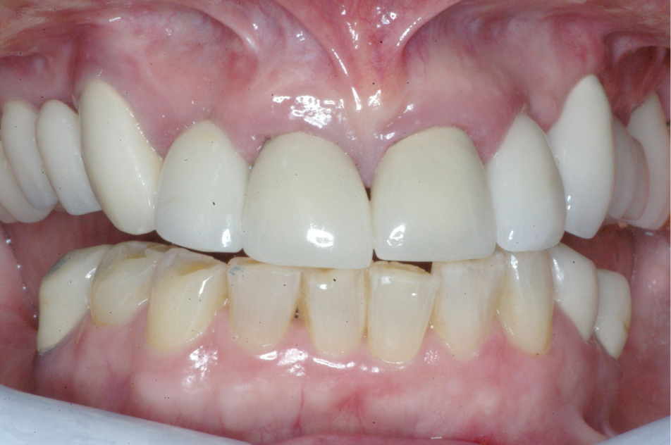
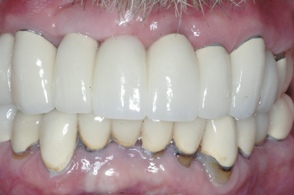
After
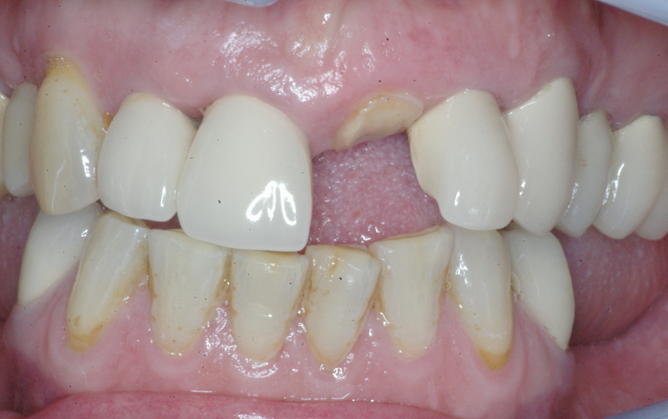
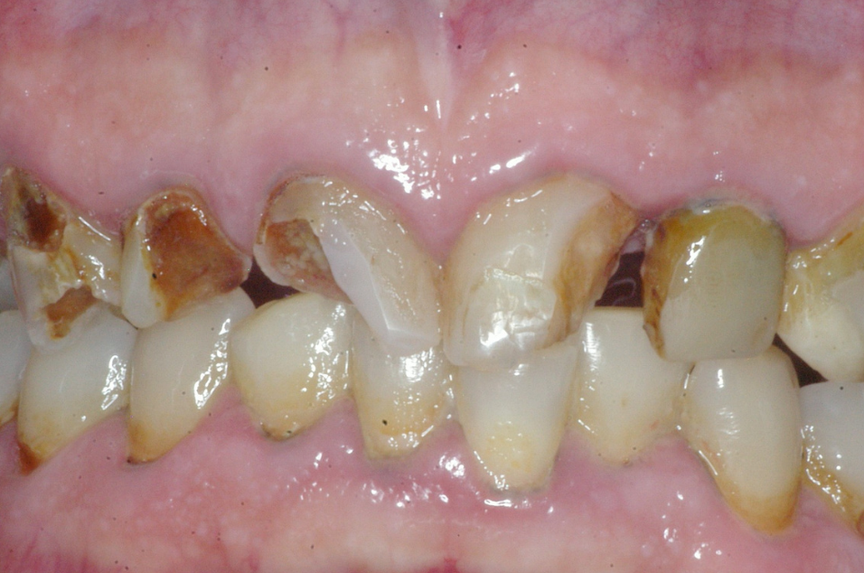
Before
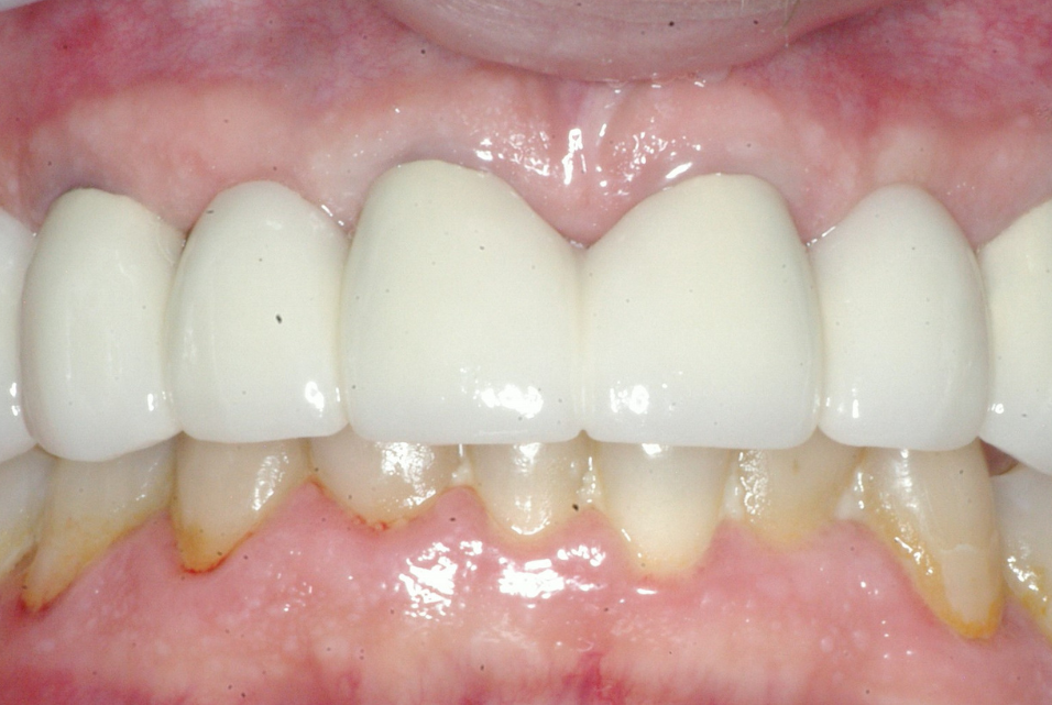
After
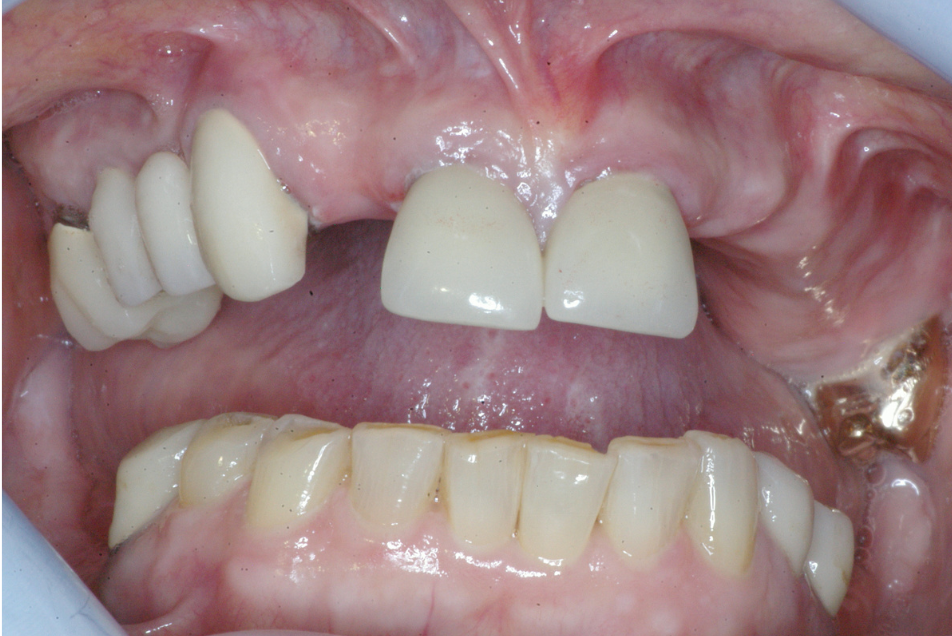
Before
After
Before
After
Before
After
Before
After
Before
After
Before
After
Visit Our Office
Danvers, Massachusetts
491 Maple St, Suite 302, Danvers, Massachusetts 01923
Email: [email protected]
Book NowOffice Hours
- MON - FRI8:00 am - 6:00 pm
- SAT8:00 am - 5:00 pm
- SUNClosed








